Erforschung entzündlicher GI-Erkrankungen (EoE, CED)
Projektleitung: PD Dr. med. Ulrike von Arnim
Mitarbeiter:innen:
Dr. med. Rosa Rosania, Dr. med. Robert Jänsch, Doktorand:innen
Forschungsschwerpunkte
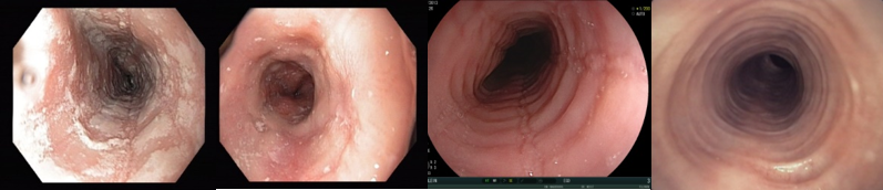
Eosinophile Ösophagitis (EoE) und Chronisch-entzündliche Darmerkrankungen (CED)
Projekte
Im Bereich der EoE liegt der Fokus auf der Untersuchung der Korrelation zwischen klinischen, endoskopischen und histologischen Outcomes unter medikamentöser Therapie, insbesondere bei Anwendung topischer Kortikosteroide. Ein weiterer Schwerpunkt ist die differenzierte Analyse des EREFS- und ISSE-Scoringsystems in Abhängigkeit von verschiedenen Therapieformen.
In einer internationalen Projektgruppe (EUREOS Home - Eureos) wird zudem an der Entwicklung von Empfehlungen zur Transition von Jugendlichen mit EoE ins Erwachsenenalter gearbeitet.
Als nationale Studienleitung (PI) wird die PROMEAL-Studie, eine nicht-interventionelle Phase-IV-Studie zur Wirksamkeit und Sicherheit von Dupilumab (Sanofi- Regeneron) bei EoE in Deutschland von Magdeburg aus geleitet )Homepage - Prospektive, nicht-interventionelle Beobachtungsstudie zur Charakterisierung der Langzeitbehandlung mit Dupilumab bei eosinophiler Ösophagitis in der klinischen Routine, der Sicherheit und patienten-berichteter Gesundheitsmerkmale (Lebensqualität) - ProMEAL - - Paul-Ehrlich-Institut).
Im Bereich CED konzentriert sich die Forschung auf versorgungsnahe Fragestellungen, insbesondere auf die retrospektive Analyse von Therapiepfaden und deren Einfluss auf das klinische Outcome.
In Zusammenarbeit mit der Psychosomatik (Direktor: Prof. Dr. med. Junne) werden prädiktive Faktoren für die Entwicklung somatoformer Beschwerden (SSD) bei CED-Patient:innen untersucht.
Darüber hinaus erfolgt die Entwicklung und Validierung eines krankheitsspezifischen Fragebogens zur sexuellen Dysfunktion (SD) bei CED Erkrankten.
Im Rahmen der FRESCO-Studie (IIT, Leitung: Universitätsklinikum Jena, Prof.- Dr. med. A. Stallmach) wird zudem der Einfluss des fäkalen Mikrobiota-Transfers bei Patient:innen mit leicht- bis mittelgradig aktiver Colitis ulcerosa untersucht (FRESCO).
Bild EoE:

Bild Colitis ulcerosa:

Kooperationspartner
Universitätsklinikum Magdeburg, Klinik für Psychosomatische Medizin und Psychotherapie (Prof. Dr. med. Florian Junne)
Universitätsklinikum Jena, Klinik für Innere Medizin IV (Prof. Dr. med. Andreas Stallmach)
